Journal of Iranian Medical Council

Journal of Iranian Medical Council

Rhino-Orbital and Breast Mucormycosis After COVID-19: A Case Report

Document Type : Case report

Authors
1 Antimicrobial Resistance Research Center, Institute of Immunology and Infectious Diseases, School of Medicine, Iran University of Medical Sciences, Tehran, Iran
2 Department of Surgery, School of Medicine, Iran University of Medical Sciences, Tehran, Iran
3 Department of Infectious Diseases, School of Medicine, Iran University of Medical Sciences, Tehran, Iran
Abstract
Abstract
The recent rise of Invasive Fungal Infections (IFI), especially mucormycosis in COVID-19 patients, is further complicating the outcomes. Here, we present a case of concomitant rhino-orbital and breast mucormycosis after COVID-19. To the best of our knowledge, this is the first case of breast mucormycosis after COVID-19.


 
Keywords

Abstract
The recent rise of Invasive Fungal Infections (IFI), especially mucormycosis in COVID-19 patients, is further complicating the outcomes. Here, we present a case of concomitant rhino-orbital and breast mucormycosis after COVID-19. To the best of our knowledge, this is the first case of breast mucormycosis after COVID-19.
Keywords: COVID-19, Humans, Invasive fungal infections, Mucormycosis

 

Introduction 
The Coronavirus disease 2019 (COVID-19) infection caused by the novel Severe Acute Respiratory Syndrome Coronavirus 2 (SARS-CoV-2) may be associated with an upper and lower respiratory tract infection. At the onset of the disease, the main manifestations of COVID-19 are fatigue, fever, dry cough, myalgia and dyspnea. Patients with pneumonia often have dyspnea and/or hypoxemia one week after the onset (1).
The recent rise of Invasive Fungal Infections (IFI), especially mucormycosis in COVID-19 patients, is further complicating the outcomes. Mucormycosis is well known to infect patients with diabetes mellitus, chemotherapy and neutropenia, using corticosteroid and other immunocompromised conditions. The treatment of COVID-19 with high-dose systemic steroids and other immunomodulators such as tocilizumab, hyperglycemia and viral induced lymphopenia that add to the risk of IFI (2).
Pal et al reported 99 patients with COVID-19 Associated Mucormycosis (CAM), in which rhino-orbital mucormycosis was the most common followed by rhino-orbito-cerebral mucormycosis and diabetes mellitus present in 85% of the patients (3). In this article we have presented a case of concomitant rhino-orbital and breast mucormycosis after COVID-19 in an Afghan woman without diabetes mellitus.

Case presentation 
A 51-year Afghan old lady living in Iran, without history of diabetes mellitus, chemotherapy, surgery, and taking immunosuppressive drugs, was admitted to Firoozabadi Hospital, Tehran, Iran, six weeks before this recent admission due to fever, cough, malaise, hypoxemia (pO2=90%) and short breathing. A reverse-transcriptase polymerase chain reaction (RT-PCR) from a nasopharyngeal swab was positive for the SARS-COV-2 virus. A spiral chest computed tomography showed multiple ground glass opacities in both lungs predominantly in peripheral distribution.
According to NIH guideline classification (4), the patient suffered from severe COVID-19 and Remdesivir, Dexamethasone (6 mg/daily) and heparin were administered for five days and then, she was discharged. Two weeks later, she returned to the hospital due to pain, swelling in the left eye and left cheek necrosis (Figure 1). She was admitted again with a possible diagnosis of fungal orbital cellulitis and rhinosinusitis. Skin biopsy was performed on the left cheek, amphotericin liposomal was administered and consultation with an ophthalmologist and ENT specialist was requested and she was referred to Rasool-E-Akram Hospital. 
On examination, the patient was pale and unwell. The temperature was 37.5°C, the blood pressure was 145/85 mmHg, the heart rate 85 beats per minute, and the oxygen saturation 98% while she was breathing ambient air.  Lid edema, fixed left eye, left cheek necrosis, and swelling of left breast were remarkable. The Patient mentioned that the breast pain started a few days ago. Brain and paranasal sinus CT scan were requested, a soft tissue swelling in the left preseptal, retrobulbar regions, left proptosis, ethmoid and maxillary opacities with air bubble was noted (Figure 2).
Functional Endoscopic Sinus Surgery (FESS) and mucosal biopsy were performed. Left breast ultrasonography showed diffuse skin thickening without collection. Amphotericin liposomal 300 mg/daily was continued. On the second day of the hospitalization, necrosis of the left breast tissue was significant and surgical consultation was requested (Figure 3). Suspected of mucormycosis due to the severe extent of the infection, a simple mastectomy was performed and the patient was admitted to the surgical ICU with fair condition. 
The report of skin, sinus mucosa and breast pathology is as follows: scattered fungal elements including broad, irregular 8mm septate hyphae, focally angioinvasion are observed. Abscess formation and necrotic material is associated with the fungal elements compatible with mucormycosis.
The patient was visited by infectious diseases specialist, ophthalmologist and ENT specialist daily. The left eye did not have vision, and according to the ophthalmologist idea, there was no need to an ophthalmology intervention. After one week, sinus endoscopy was performed again. The report of sinus mucosa pathology was similar to the first sample and amphotericin liposomal continued.
Sinus endoscopy was repeated three weeks later, normal sinus mucosa was reported, and there was no necrotic tissue. The patient was prescribed 12 gm of amphotericin liposomal and was discharged in a good general condition without an antifungal agent. The surgery site was completely clean, without pain and swelling (Figure 4). She was referred to the plastic surgery clinic. 

Discussion
Rates of bacterial/fungal co-infection in patients presenting with COVID-19 is approximately 8% (5). A complex interplay of factors, including preexisting diabetes mellitus, dysglycemia due to elevated IL-6, previous respiratory pathology, use of immunosuppressive therapy, the immune dysregulation associated with COVID-19, with reduced number of T lymphocytes, endotheliitis, and obesity are known risk factors for the development of mucormycosis (3). Finally, using glucocorticoid, remdesivir and lopinavir-ritonavir can further worsen glucose control and predispose to mucormycosis (6).
Al-Tawfiq conducted a study about mucormycosis superinfection in cases of COVID-19 in India, that the most common infection sites were rhino-orbital/ rhinocerebral mucormycosis, and other sites were lungs, skin, and gastrointestinal tract. They showed that the triad of severe COVID-19, corticosteroid use and hyperglycemia have been evident for significant increase in the incidence of angioinvasive maxillofacial mucormycosis (7). 
Isolated breast mucormycosis has been reported for the first time in a diabetic woman by Thapar et al The patient was also receiving inhaled corticosteroids for chronic obstructive pulmonary disease. Aggressive surgical debridement of all necrotic tissue was performed and systemic amphotericin-B as a mainstay of treatment was administered. Authors concluded that uncontrolled diabetes, old age and inhalational steroid can act as predisposing factors (8).
Baezzat et al reported breast mucormycosis in an elderly woman without predisposing factors in Iran. The patient was successfully treated with a simple mastectomy and intravenous amphotericin-B (9). The presentation of this case emphasizes that the mucormycosis can occur in individuals without an underlying disease.
The clinical hallmark of invasive mucormycosis is tissue necrosis resulting from angioinvasion and subsequent thrombosis. The classic finding in the pathology is that of necrotic and edematous tissue with neutrophilic infiltrate and presence of broad, nonseptate hyphae with branching at 90° (10).
The patient suffered from rhino-orbital and breast mucormycosis after recovering from COVID-19 that has not been reported yet.  Spores are likely to have gained entry to breast through unknown trauma and multiplied and invaded the breast tissue with systemic steroid acting as the predisposing factor. Due to the prevalence of fungal infection following COVID-19, care should be taken in prescribing drugs weakening the immune system. Also, a thorough clinical examination is of prime importance to discover other foci of infection.

 

  1. Li H, Liu SM, Yu XH, Tang SL, Tang CK. Coronavirus disease 2019 (COVID-19) Current status and future perspectives. Int J Antimicrobial Agents 2020 May;55(5):105951. https://pubmed.ncbi.nlm.nih.gov/32234466/
  2. Singh Y, Ganesh V, Kumar S, Patel N, Aggarwala R, Soni KD, et al. Coronavirus Disease-Associated Mucormycosis from a Tertiary Care Hospital in India: A Case Series. Cureus 2021 Jul 3;13(7):e16152. https://pubmed.ncbi.nlm.nih.gov/34354889/
  3. Pal R, Singh B, Bhadada SK, Banerjee M, Bhogal RS, Hage N, et al. COVID-19 associated mucormycosis: An updated systemic review of literature. Mycoses 2021 Dec;64(12):1452-59. https://pubmed.ncbi.nlm.nih.gov/34133798/
  4. COVID-19 Treatment Guidelines Panel Coronavirus Disease 2019(COVID-19) Treatment guideline. National Institutes of Health. Available at https://www.COVID19treatmentguidelines.nih.gov/.
  5. Rawson TM, Moore LSP, Zhu N, Ranganathan N, Skolimowska K, Gilchrist M, et al. Bacterial and Fungal Coinfection in Individuals With Coronavirus: A Rapid Review To Support COVID-19 Antimicrobial Prescribing. Clin Infect Dis 2020 Dec 3;71(9):2459-68. https://pubmed.ncbi.nlm.nih.gov/32358954/
  6. Pal R, Bhadada SK. COVID-19 and diabetes mellitus: an unholy interaction of two pandemics. Diabetes Metab Syndr Clin Jul-Aug 2020;14(4):513-17. https://pubmed.ncbi.nlm.nih.gov/32388331/
  7. Al-Tawfiq JA, Alhumaid S, Alshukairi AN, Temsah MH, Barry M, Al Mutair A, et al COVID-19 and mucormycosis superinfection: the perfect storm. Infection 2021 Oct;49(5):833-53. https://pubmed.ncbi.nlm.nih.gov/34302291/
  8. Thapar VK, Deshpande A, Jain VK, Bhowate P, Madiwale C. Isolated breast mucormycosis. J Postgrad Med Apr-Jun 2006;52(2):134-5. https://pubmed.ncbi.nlm.nih.gov/16679679/
  9. Baezzat SR, Fazelzadeh A, Tahmasebi S, Kumar PV. Primary breast mucormycosis, a case report. Iran Red Crescent Med J 2011 Mar;13(3):208-9. https://pubmed.ncbi.nlm.nih.gov/22737465/
  10. Kataria SP, Sharma J, Singh G, Kumar S, Malik S, Kumar V. Primary breast mucormycosis: FNAC diagnosis of a rare entity. Diagn Cytopathol 2016 Sep;44(9):761-3. https://pubmed.ncbi.nlm.nih.gov/27218441/
Volume 5, Issue 2
Spring 2022
Pages 338-342

Figure 1. Left-cheek necrosis, periorbital edema and ptosis.
Figure 1. Left-cheek necrosis, periorbital edema and ptosis.
Figure 2. Spiral sinus CT scan: Infiltration of the left ethmoid, maxillary sinuses, and deformation of the posterior globe.
Figure 2. Spiral sinus CT scan: Infiltration of the left ethmoid, maxillary sinuses, and deformation of the posterior globe.
Figure 3. Left breast necrosis.
Figure 3. Left breast necrosis.
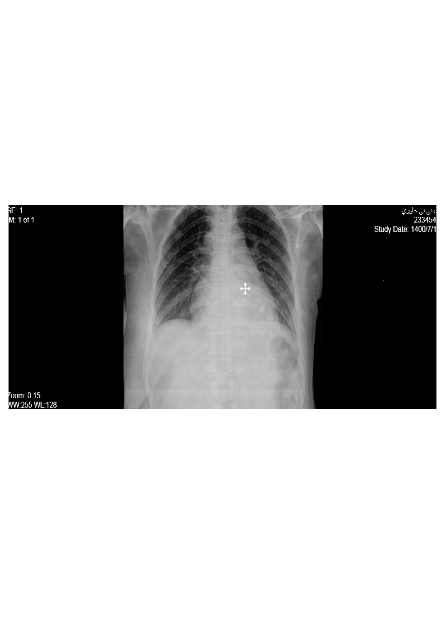
Figure 4. Chest x-ray after mastectomy without arenchymal and rib involvement.
Figure 4. Chest x-ray after mastectomy without arenchymal and rib involvement.