Journal of Iranian Medical Council

Journal of Iranian Medical Council

Assessment of Anatomical Location and Variation of Mandibular Foramen Using Cone-Beam Computed Tomography: A Cross-Sectional Study

Document Type : Original article

Authors
1 Department of Oral and Maxillofacial Radiology, School of Dentistry, Shahid Beheshti University of Medical Sciences, Tehran, Iran
2 Department of Oral and Maxillofacial Radiology, School of Dentistry, University of Medical Sciences, Tehran, Iran
3 School of Dentistry, Shahid Beheshti University of Medical Sciences, Tehran, Iran
Abstract
Background: Determining the exact location of mandibular foramen is an important factor prior to Inferior Alveolar Nerve (IAN) block injection. The aim of this study is to assess the position of Mandibular Foramen (MF) and its variations using Cone-Beam Computed Tomography (CBCT).
Methods: This study was conducted on CBCT images of 80 females and 80 males (18 to 68 years). The distance between the MF and the anterior border of ramus (A), inferior border of mandible (B), superior border of mandible (C), and occlusal plane was measured. Data were analyzed by the student t-test, bivariate correlation analysis, paired sample t-test, and Pearson’s correlation coefficient. 
Results: The mean amount of A, B and C distances, and the mean distance from the occlusal plane to the center of MF were 13.76, 24.24, 12.32, and 7.59 mm, respectively, with no significant difference between the right and left sides (p>0.05). The mean B and C distances were significantly smaller in females than males (p<0.05). The mean size of the measured angle was 43.2°. Significant correlations were noted between aging and decreased A distance, and reduction in the angle between the contralateral premolars and MF (p<0.05). 
Conclusion: Knowledge about the position of MF can enhance the surgical procedures in this region. Using a 21-25 mm needle would be associated with lower risk of needle fracture during IAN block injection. Also, needle insertion angle <45-degrees is optimal for the samples assessed in this study.

Keywords

Abstract
Background: Determining the exact location of mandibular foramen is an important factor prior to Inferior Alveolar Nerve (IAN) block injection. The aim of this study is to assess the position of Mandibular Foramen (MF) and its variations using Cone-Beam Computed Tomography (CBCT).
Methods: This study was conducted on CBCT images of 80 females and 80 males (18 to 68 years). The distance between the MF and the anterior border of ramus (A), inferior border of mandible (B), superior border of mandible (C), and occlusal plane was measured. Data were analyzed by the student t-test, bivariate correlation analysis, paired sample t-test, and Pearson’s correlation coefficient. 
Results: The mean amount of A, B and C distances, and the mean distance from the occlusal plane to the center of MF were 13.76, 24.24, 12.32, and 7.59 mm, respectively, with no significant difference between the right and left sides (p>0.05). The mean B and C distances were significantly smaller in females than males (p<0.05). The mean size of the measured angle was 43.2°. Significant correlations were noted between aging and decreased A distance, and reduction in the angle between the contralateral premolars and MF (p<0.05). 
Conclusion: Knowledge about the position of MF can enhance the surgical procedures in this region. Using a 21-25 mm needle would be associated with lower risk of needle fracture during IAN block injection. Also, needle insertion angle <45-degrees is optimal for the samples assessed in this study.
Keywords: Anatomies, Cone-beam computed tomography, Mandibular foramen

Introduction 
The Inferior Alveolar Nerve (IAN) enters the mandibular ramus through the Mandibular Foramen (MF). The MF is located in the internal surface of the mandibular ramus, a few millimeters (mm) above the occlusal plane of molar teeth and approximately at the center point of the mandibular ramus close to the sigmoid notch. However, some anatomical variations exist in the position of MF in different individuals (1). To achieve a successful IAN block, the anesthetic agent should reach the MF. Insertion of the needle far from the MF prevents the access of anesthetic agent to IAN (2,3). Failure in IAN block and reinjection can lead to trismus, which causes patients’ discomfort and complicates the conduction of surgical procedures (4). 
Long needles are recommended for IAN block (3). However, a study conducted on dry mandibles showed that short needles with 25 mm length can also be used for IAN block due to the position of the MF (1). Using a short needle decreases the risk of needle fracture during IAN block injection. Dentofacial deformities such as retrognathism and prognathism are common. Sagittal split ramus osteotomy is performed to correct such deformities (5). Correct determination of the anatomical location of MF is imperative for an optimal incision line and fracture line in the mandibular ramus and to prevent IAN damage and related complications in this surgical procedure.
Considering all the above, knowledge about the position of MF in each population is necessary. Thus, this study aimed to assess the position of MF in an Iranian subpopulation using Cone-Beam Computed Tomography (CBCT). 

Materials and Methods
This descriptive cross-sectional study was conducted on 160 CBCT images of the mandible retrieved from the archives of the school of dentistry of Shahid Beheshti University of Medical Sciences. The study was approved by the ethics committee of the mentioned university (IR.SBMU.RIDS.REC.1396.593). CBCT scans of 80 males and 80 females with a mean age of 18 to 68 years were selected by convenience sampling. All CBCT scans had been taken with NewTom VGI CBCT scanner (Verona, Italy). The minimum sample size was calculated to be 65 according to previous studies (5,6) assuming α=0.05, 95% confidence interval, standard deviation of 4.1 mm, and accuracy of 1 mm.

Inclusion and exclusion criteria
The inclusion criteria were CBCT images of the mandible visualizing both mandibular rami, age range of 18-68 years, and complete eruption of canine and molar teeth. The exclusion criteria were mandibular asymmetry, images with artifacts, presence of pathological lesions, poor or no visualization of MF at one or both sides on images, and missing of molars and/or canine teeth.

CBCT assessments
To determine the head position, the occlusal plane alignment was evaluated using the NNT Viewer software (version 8.0), such that the anterior border of the MF had to be at the level of the line tangent to the occlusal surface of the mandibular second molar (6). 
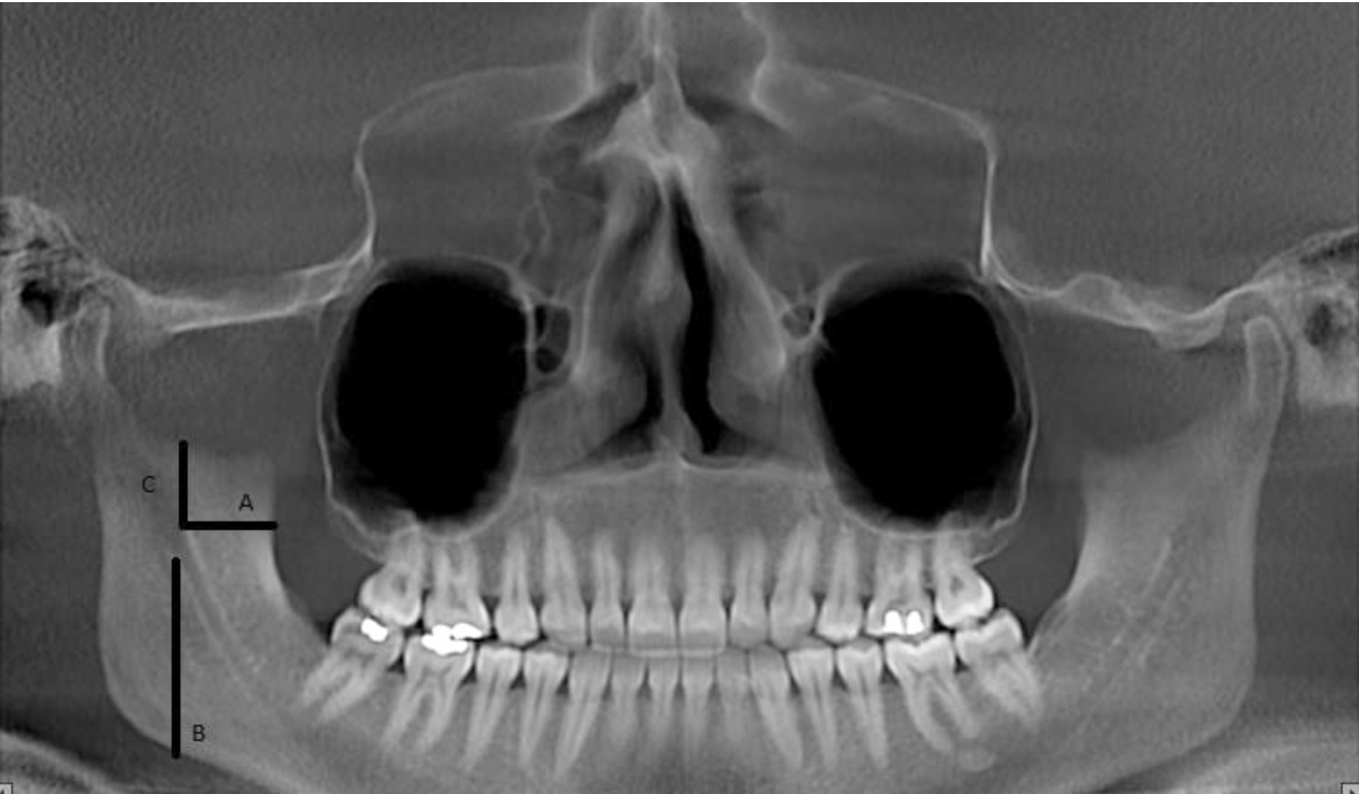
To determine the position of MF in the mandibular ramus, four distances were measured on CBCT images in NNT Viewer software and reported in millimeters. The distances and their definitions were as follows (Figure 1):
Distance A: Distance (Mean±SD) between the anterior border of MF and the cortex of the anterior border of mandibular ramus.
Distance B: Distance (Mean±SD) between the inferior border of MF and cortex of the inferior border of mandibular ramus.
Distance C: Distance (Mean±SD) between the superior border of MF and cortex of the superior border of mandibular ramus.
The distance between the occlusal plane and the center of MF was also measured on CBCT scans. Prior to the measurements, the 3D position of the mandible was standardized. For this purpose, the occlusal reference plane was drawn from the tip of canine and mesiobuccal cusps of mandibular first and second molars parallel to the horizon. The distance between the midpoint of the MF and the occlusal plane was then measured (6) (Figure 2).  
Also, to determine the correct angle of needle insertion for an IAN block, the angle formed between the line connecting the contralateral premolars and the center of MF, and the line connecting the right and left premolars was measured on 3D CBCT scans (7) (Figure 3).  The abovementioned distances were measured by the ruler feature of NNT Viewer software and reported in mm. The aforementioned angle was measured by the caliper feature of the software and reported in degrees. The age and gender of the patients were also recorded from patients’ records available in the archives. Data (Mean± SD, Min, Max) were analyzed using IBM SPSS STATISTICS 24 (IBM Corp., Armonk, New York, USA) by Student t-test, bivariate correlation analysis, paired sample t-test, and Pearson’s correlation coefficient. 

Results
A total of 160 CBCT scans of 80 males and 80 females with a mean age of 36.45 years were evaluated. The mean age was 38.25 years for males and 33.23 years for females. The mean amounts of A, B and C distances, and the mean distance from the occlusal plane to the center of MF were 13.76±2.21, 24.24±3.57, 12.32±3.11 and 7.59±3.14 mm, respectively. Table 1 presents the mean amounts of A, B and C distances, and the mean distance from the occlusal plane to the center of MF in the right and left sides. As shown, no significant difference was noted between the right and left sides in any of the measured distances (p>0.05). Table 2 presents the mean amounts of A, B and C distances, and the mean distance from the occlusal plane to the center of MF in males and females. 

Table 1. Mean amounts of A, B and C distances, and the mean distance from the occlusal plane to the center of MF in the right and left sides

Measurement

Side

Number

Mean

SD

Minimum

Maximum

p-value

 

Right

160

13.56

2.47

7.5

20.4

 

A

 

 

 

 

 

 

0.085

 

Left

160

13.96

2.43

8.1

19.8

 

 

Right

160

24.47

3.73

14

32.6

 

B

 

 

 

 

 

 

0.098

 

Left

160

24.01

4.21

3.9

36

 

 

Right

160

 

Table 2. Mean amounts of A, B and C distances, and the mean distance from the occlusal plane to the center of MF in males and females

Measurement

Gender

Number

Mean

SD

Minimum

Maximum

p-value

 

Female

80

13.65

2.39

8.55

19.20

 

A

 

 

 

 

 

 

0.544

 

Male

80

13.87

2.02

7.95

18.90

 

 

Female

80

23.06

2.54

17

28.05

 

B

 

 

 

 

 

 

0.032

 

Male

80

25.41

4.05

12.75

33.45

 

 

Female

80

11.87

2.67

6

17.85

 

C

 

 

 

 

 

 

0.034

 

Male

80

12.78

3.45

6.15

22.15

 

 

Female

80

7.26

2.83

1.05

15.35

 

Occlusal plane

 

 

 

 

 

 

0.197

 

Male

80

7.91

3.41

1

16.55

 

 

Table 3. Mean size of the angle in the right and left sides, and in males and females

Parameter

Category

Number

Mean

SD

Minimum

Maximum

p-value

 

Right

160

5.43

2.57

40

3.49

 

Side

 

 

 

 

 

 

 0.095

 

Left

160

1.43

2.48

4.40

5.49

 

 

Male

160

43.7

2.67

40.4

49.5

 

Gender

 

 

 

 

 

 

0.089

 

Female

160

43

2.38

40

49.3

 

 

As shown, the mean B (p=0.032) and C (p=0.034) distances were significantly smaller in females than males. The mean angle formed between the line connecting the contralateral premolars to the center of MF and the line connecting the right and left premolars was 43.2±3.22 degrees, irrespective of age and laterality. Table 3 presents the mean size of this angle in the right and left sides and in males and females. As shown, no significant difference was noted in this regard between the right and left sides (p=0.095) or males and females (p=0.089). 
Table 4 presents the results of Pearson’s correlation coefficient for the correlation of each parameter with aging. As shown, aging had a significant correlation only with the A distance (Pearson’s correlation=-0.161, p=0.041) and the measured angle (Pearson’s correlation=-0.172, p=0.044). 

 

Table 4. Results of Pearson’s correlation coefficient for the correlation of each parameter with age

 

A

B

C

Occlusal plane

Angle

p-value

0.041

0.053

0.637

0.648

0.043

Pearson’s correlation coefficient

-0.161

0.153

0.038

-0.036

-0.172

 

Discussion 
Mandibular foramen is an important anatomical landmark containing the inferior alveolar nerve. A precise detection of this anatomic landmark is prerequisite prior to most mandibular cosmetic orthognathic surgeries, osteotomies, surgical excision of pathologies and IAN block injection. The success of IAN block is lower than the maxillary blocks due to different reasons such as the penetration depth of the needle into the soft tissue, accessory innervations, and anatomical variations of the position of MF (3-8). Thus, correct insertion of the needle close to the MF is imperative. Injection of anesthetic agent posterior to the MF and in the posterior ramus can lead to facial nerve paralysis or damage to the parotid gland (9,10). This study assessed the position of MF in an Iranian subpopulation using CBCT. CBCT provides three-dimensional assessment of maxillofacial skeleton and offers higher spatial resolution with lower radiation exposure in contrast to conventional CT. In this study, the anteroposterior position of MF was determined by measuring the distance of MF to anterior border of ramus, since it can serve as a reference for the length of needle insertion for an IAN block (11). This distance was found to be averagely 13.76 mm with no significant difference between the right and left sides, or males and females in our study population. This distance, in addition to approximately 7 mm thickness of soft tissue (1), indicates that 20.76 mm distance averagely exists between the point of needle insertion and MF. Thus, injection needles with 21 to 25 mm length can be used for IAN block injections. This value was measured to be 13.76 mm in the present study, which was close to the value reported by da Silva Braga et al (12) (11.81 mm) in a Brazilian population but lower than the value reported by Kang et al (6) in a Korean population (22.9 mm). Both of the aforementioned studies made the measurements on CBCT scans, similar to our methodology.
The present results showed a significant correlation between age and the distance of MF to anterior border of ramus; however, this correlation was not strong, and may be due to resorption of the anterior ramus and absorption in the posterior ramus at a very slow rate, compared with the pace of aging, in older patients. 
In this study, the distance between the occlusal plane and MF was also measured because it can serve as a reference for needle insertion in IAN block injections. Feuerstein et al (13) used the mandibular plane as a fixed clinical reference in all ages to determine the position of MF. The significance of locating the MF by using the occlusal plane irrespective of the experience and skills of the clinician is undeniable (13). This distance was measured to be 7.59 mm in our Iranian population with no significant difference between the right and left sides or males and females. This value was higher than the value measured by Kang et al (6) in their study on a Korean population (3.8 mm) and the value reported by Lima et al (14) in a Brazilian population (5.57 mm). Hwang et al (15) reported that the position of MF relative to the occlusal plane changed with age such that the MF was below the occlusal line in children while it was 4.16 mm above the occlusal line in adults. This association was not significant in the present study.
The mean distances between the MF and the inferior border of mandible and superior border of mandible were significantly smaller in females than males in the present study. The same results were reported by Kane et al (16) and Lo et al (17). This difference can be attributed to weaker muscle structures in females, which leads to lower growth of the mandibular ramus and subsequent impact on the position of MF (18). 
The distance between the MF and inferior border of mandible and superior border of mandible had no significant correlation with age in the present study. Also, the distance between the MF and the anterior border of ramus, inferior border of mandible and superior border of mandible and occlusal plane-MF distances were not significantly different in the right and left sides, indicating the presence of symmetry in position of MF in the right and left sides in our Iranian population. Similar results were reported by Valente et al (19,20). 
Moreover, the angle formed between the line connecting the contralateral premolars to the center of MF and the line connecting the right and left premolars was measured to be 43.1 degrees in the left and 43.5 degrees in the right side, respectively, in the present study, which were almost similar to the values reported by Blacher et al (7). In the study by Kang et al (6), the angle formed between the line connecting the contralateral premolars and the contact point of second premolar and first molar of the mandible of the other side, and the line connecting the MF and sagittal plane was measured to be 51.2 and 56.5 degrees. Differences in values reported by the two studies in this respect can be due to the use of a different reference point by Kang et al (6) for the measurements. Needle insertion with an angulation <45 degrees relative to the line connecting the right and left premolars increases the chance of adequate approximation of needle tip to the MF in the Iranian population (21). However, clinical assessment of the exact position of MF would increase the odds of a successful IAN block because the size of this angle in the Iranian subpopulation was different from the value reported by Blacher et al (7) in an American population. 
In the present study, a significant correlation existed between age and the abovementioned angle. However, this correlation was not strong. Also, this angle was not significantly different in the right and left sides, or between males and females, which was in line with the results of Blacher et al (7).  
This study had some limitations. The distance between the posterior border of mandible and MF was also intended to be measured. However, it was not possible to measure this distance due to small field of view of images and no visualization of the posterior border of ramus on most CBCT images (22-24). Future studies are required to assess the position of MF in patients with class I, II and III malocclusions.

Conclusion
Knowledge about the mean amounts of distance between the MF and the anterior border of ramus, inferior border of mandible and superior border of mandible can aid in conduction of surgical procedures in this region. Using a 21-25 mm needle would be associated with lower risk of needle fracture during IAN block injection. Also, needle insertion angle <45-degrees is optimal according to the obtained results.

Availability of the data and materials
The datasets used and/or analyzed during the current study are available from the corresponding author on reasonable request.

Ethical approval
The study was approved by the ethics committee of Shahid Beheshti University of Medical Sciences (IR.SBMU.RIDS.REC.1396.593). The study protocol was approved by the institutional review board of Shahid Beheshti University of Medical Sciences.

Funding
This research received no specific grant from any funding agencies.    
      
Consent for publication
All authors consent to publication of this manuscript.

Conflict of Interest
The authors declare that they have no conflict of interests.

 

  1. de Lima AN, Céspedes IC. [Fatores que levam ao sucesso da anestesia Pterigomandibular]. Odonto 2009;17(33):71-8. French.
  2. Moura WL, Callestini EA, Saad Neto M. [Revisão das técnicas intrabucais para anestesia dos nervos alveolar inferior, lingual e bucal]. Rev Reg Aracatuba Assoc Paul Cir Dent 1984;5(1):23-30. French.
  3. Potocnik I, Bajrović F. Failure of inferior alveolar nerve block in endodontics. Endod Dent Traumatol 1999 Dec;15(6):247-51. https://pubmed.ncbi.nlm.nih.gov/10825834/
  4. Malamed SF. Handbook of local anesthesia. 5th Elsevier Health Sciences; 2004. 464 p.
  5. Poonacha KS, Shigli AL, Indushekar KR. Relative position of the mandibular foramen in different age groups of children: a radiographic study. J Indian Soc Pedod Prev Dent 2010 Jul-Sep;28(3):173-8. https://pubmed.ncbi.nlm.nih.gov/21157049/
  6. Kang SH, Byun IY, Kim JH, Park HK, Kim MK. Three-dimensional anatomic analysis of mandibular foramen with mandibular anatomic landmarks for inferior alveolar nerve block anesthesia. Oral Surg Oral Med Oral Pathol Oral Radiol 2013 Jun 1;115(6):e17-23. https://pubmed.ncbi.nlm.nih.gov/22771406/
  7. Blacher J, Van DaHuvel S, Parashar V, Mitchell JC. Variation in location of the mandibular foramen/inferior alveolar nerve complex given anatomic landmarks using cone-beam computed tomographic scans. J Endod 2016 Mar;42(3):393-6. https://pubmed.ncbi.nlm.nih.gov/26786380/
  8. Takasugi Y, Furuya H, Moriya K, Okamoto Y. Clinical evaluation of inferior alveolar nerve block by injection into the pterygomandibular space anterior to the mandibular foramen. Anesth Prog 2000 Winter;47(4):125-9. https://pubmed.ncbi.nlm.nih.gov/11432177/
  9. Chevalier V, Arbab-Chirani R, Tea SH, Roux M. Facial palsy after inferior alveolar nerve block: case report and review of the literature. Int J Oral Maxillofac Surg 2010 Nov 1;39(11):1139-42. https://pubmed.ncbi.nlm.nih.gov/20605412/
  10. Tzermpos FH, Cocos A, Kleftogiannis M, Zarakas M, Iatrou I. Transient delayed facial nerve palsy after inferior alveolar nerve block anesthesia. Anesth Prog 2012 Spring;59(1):22-7. https://pubmed.ncbi.nlm.nih.gov/22428971/
  11. Ennes JP, Medeiros RM. Localization of mandibular foramen and clinical implications. Int J Morphol 2009; 4:1305-11.
  12. da Silva Braga RR, da Silva LM, Galvanini PA, Gomes PP, Victorino FR. Analysis of the mandibular foramen position and its implications to the inferior alveolar nerve block. Revista Odontológica do Brasil Central 2014;23(67).
  13. Feuerstein D, Costa-Mendes L, Esclassan R, Marty M, Vaysse F, Noirrit E. The mandibular plane: a stable reference to localize the mandibular foramen, even during growth. Oral Radiol 2020 Jan;36(1):69-79. https://pubmed.ncbi.nlm.nih.gov/30945083/
  14. Lima DS, Andrade A, Figuerêdo EA, Rocha VH, Costa MV, Castro MP, et al. [Estudo anatômico do forame mandibular e suas relações com pontos de referência do ramo da mandíbula]. CEP 2011;41760:020. Brazilian
  15. Hwang TJ, Hsu SC, Huang QF, Guo MK. Age changes in location of mandibular foramen. Zhonghua Ya Yi Xue Hui Za Zhi. 1990 Sep 1;9(3):98-103. https://pubmed.ncbi.nlm.nih.gov/2135997/
  16. Kane AA, Lo LJ, Chen YR, Hsu KH, Noordhoff MS. The course of the inferior alveolar nerve in the normal human mandibular ramus and in patients presenting for cosmetic reduction of the mandibular angles. Plast Reconstr Surg 2000 Oct;106(5):1162-74; discussion 1175-6. https://pubmed.ncbi.nlm.nih.gov/11039388/
  17. Lo LJ, Wong FH, Chen YR. The position of the inferior alveolar nerve at the mandibular angle: an anatomic consideration for aesthetic mandibular angle reduction. Ann Plast Surg 2004 Jul 1;53(1):50-5. https://pubmed.ncbi.nlm.nih.gov/15211199/
  18. Prado FB, Groppo FC, Volpato MC, Caria PH. Morphological changes in the position of the mandibular foramen in dentate and edentate Brazilian subjects. Clin Anat 2010 May;23(4):394-8. https://pubmed.ncbi.nlm.nih.gov/20235169/
  19. Valente VB, Arita WM, Garcia Goncalves PC, Duarte Bonini Campos JA, Capote TS. Location of the mandibular foramen according to the amount of dental alveoli. Int J Morphol 2012 Mar;30(1):77-81.
  20. Narayan RK, Ghosh SK. Morphological analysis of mandibular foramen through anatomical planes: implications for inferior alveolar nerve block. Anat Sci Int 2020 Mar;95(2):209-18. https://pubmed.ncbi.nlm.nih.gov/31729624/
  21. Kavarthapu A, Thamaraiselvan M. Assessing the variation in course and position of inferior alveolar nerve among south Indian population: a cone beam computed tomographic study. Indian J Dent Res 2018 Jul 1;29(4):405-9. https://pubmed.ncbi.nlm.nih.gov/30127186/
  22. Moshfeghi M, Abedian B, Ahsaie MG, Tajdini F. Prevalence of nasal septum deviation using cone-beam computed tomography: a cross-sectional study. Contemp Clin Dent 2020 Jul-Sep;11(3):223-8. https://pubmed.ncbi.nlm.nih.gov/33776347/
  23. Moshfeghi M, Rahimi H, Rahimi H, Nouri M, Bagheban AA. Predicting mandibular growth increment on the basis of cervical vertebral dimensions in Iranian girls. Prog Orthod 2013 May 20;14(1):3. https://pubmed.ncbi.nlm.nih.gov/24326181/ 
  24. Safi Y, Amid R, Vasegh Z, Ahsaie MG. A new classification of anterior mandible edentulous ridge based on cone beam computed tomography. J Long Term Eff Med Implants 2021;31(1):21-31. https://pubmed.ncbi.nlm.nih.gov/33822531/
Volume 5, Issue 4
Autumn 2022
Pages 622-629

Figure 1. Measurement of A, B and C distances on CBCT scans to determine the position of mandibular foramen.
Figure 1. Measurement of A, B and C distances on CBCT scans to determine the position of mandibular foramen.
Figure 2. Distance between the occlusal plane and mandibular foramen measured on CBCT scans in NNT Viewer software.
Figure 2. Distance between the occlusal plane and mandibular foramen measured on CBCT scans in NNT Viewer software.
Figure 3. Measuring the angle formed between the line connecting the contralateral premolars to the center of mandibular foramen, and the line connecting the right and left premolars.
Figure 3. Measuring the angle formed between the line connecting the contralateral premolars to the center of mandibular foramen, and the line connecting the right and left premolars.