Journal of Iranian Medical Council

Journal of Iranian Medical Council

Intramuscular Cavernous Hemangioma of the Vastus Intermedius Muscle with Knee Joint Extension: A Case Report

Document Type : Case report

Authors
1 Department of Radiology, Shariati Hospital, Tehran University of Medical Sciences, Tehran, Iran
2 Department of Radiology and Advanced Diagnostic Interventional Radiology Research Center, Tehran University of Medical Sciences, Tehran, Iran
Abstract
Intramuscular Hemangiomas (IHs) are benign vascular neoplasms usually arising within the striated muscle of the trunk and extremities. These account for less than 1% of all hemangiomas. IH in the distal thigh with extension to knee joint is rarely reported, and may be confused with other lesions. A case of cavernous intramuscular hemangioma that involved distal third of left thigh with extension to knee joint in a 10-year-old girl is reported in this paper. The girl initially presented with sclerotic bony changes in imaging and slow growth during 4 years which at firt was misdiagnosed as osteoid osteoma for a long time. The patient’s parents refused the recommended biopsy of the lesion. Four years later, after the onset of the patient’s complaints of pain and swelling in the distal thigh, another survey with Doppler ultrasound and MRI was done. The tumor was finally diagnosed as hemangioma, and was completely resected. Histopathology confirmed a cavernous hemangioma with free margins. Our case was both an educational and clinical case with radiological presentations like articular involvement of this extra articular hemangioma and there was delay in diagnosis.
Keywords

Abstract
Intramuscular Hemangiomas (IHs) are benign vascular neoplasms usually arising within the striated muscle of the trunk and extremities. These account for less than 1% of all hemangiomas. IH in the distal thigh with extension to knee joint is rarely reported, and may be confused with other lesions. A case of cavernous intramuscular hemangioma that involved distal third of left thigh with extension to knee joint in a 10-year-old girl is reported in this paper. The girl initially presented with sclerotic bony changes in imaging and slow growth during 4 years which at firt was misdiagnosed as osteoid osteoma for a long time. The patient’s parents refused the recommended biopsy of the lesion. Four years later, after the onset of the patient’s complaints of pain and swelling in the distal thigh, another survey with Doppler ultrasound and MRI was done. The tumor was finally diagnosed as hemangioma, and was completely resected. Histopathology confirmed a cavernous hemangioma with free margins. Our case was both an educational and clinical case with radiological presentations like articular involvement of this extra articular hemangioma and there was delay in diagnosis.
Keywords: CT scan, Femur, Intramuscular hemangioma, MRI

Introduction
Hemangiomas are the most common vascular tumor of childhood, affecting 1-3% of neonates and 10% of children, and one of the most common soft tissue tumors, comprising approximately 7-10% of all soft tissue tumors (1-3). The etiology of hemangioma remains unclear. There is however controversy as to whether hemangioma is a true neoplasm. Some pathologists have seen these lesions as hamartoma or malformation, while others have considered these as arteriovenous fistula (4,5).
Vascular malformations might be present at birth, although they are not always apparent. Some increase gradually in size during life and never involute. They grow by means of hypertrophy of malformed vessels. They are divided into capillary, cavernous, arteriovenous, venous and mixed subtypes. Cavernous and mixed are the most common types (1,6).
Histopathologic examination reveals large, endothelium lined, blood-filled spaces surrounded by intense, loosely distributed smooth muscle cells and fibrous elements contain blood with occasional intravascular thrombosis (7-9). Malignant transformation has not been reported in cavernous hemangioma (10). Hemangiomas may be superficial (cutaneous), deep (subcutaneous), or may have both superficial and deep involvement (1). The most common places are the musculoskeletal system, liver and spleen. Ultrasonography, plain conventional radiograph and CT scan are helpful in diagnosis of these lesions. However, MRI is a noninvasive and frequently diagnostic investigative modality and has been found to be accurate in detecting the extension of hemangioma (9,10). Intramuscular hemangiomas are frequently mistaken for bone lesions and soft tissue tumors because of a similar presentation and improper nomenclature.
Intramuscular hemangioma involving the knee joint is extremely rare. In this paper, a large cavernous hemangioma in distal third of left thigh with involvement of knee joint is shown and the diagnostic and therapeutic problems are discussed.

Case report
A 10-year-old girl was admitted to our hospital with a 4-year history of gradually increasing pain in distal aspect of left thigh. Physical examination revealed atrophic changes and a notable tenderness in left distal thigh without skin changes or involvement. Patient sometimes woke up at night by the pain. There was no history of probable trauma or infection. The pain was alleviated with NSAIDs. The lesion grew slowly during four years after the first presentation.
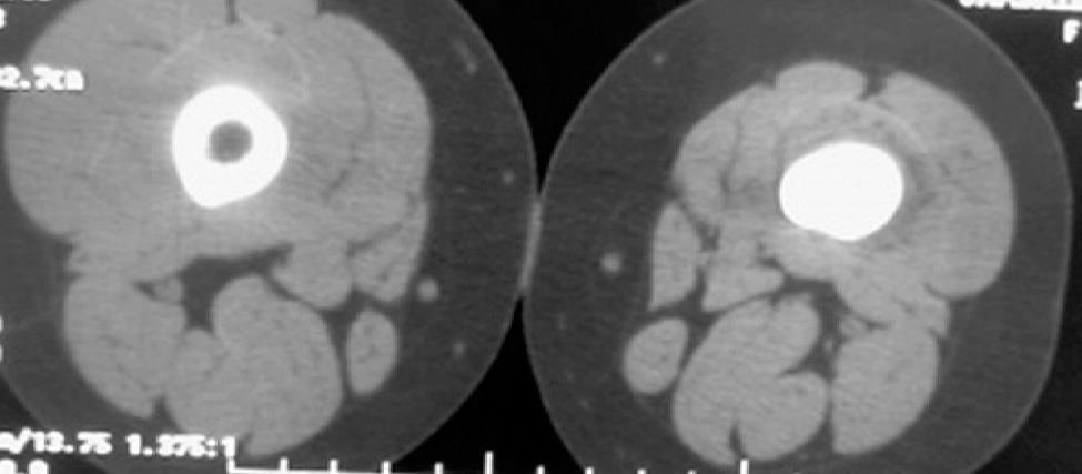
The first conventional radiography of the left thigh revealed soft tissue swelling, sclerosis and mild bone expansion in distal diaphysis of left femur without evidence of cortical destruction and periosteal reaction. CT scan (Figure 1) revealed thick cortical sclerosis with mild edema of bone marrow and MRI comfirmed these findings with mild adjacent soft tissue edema.
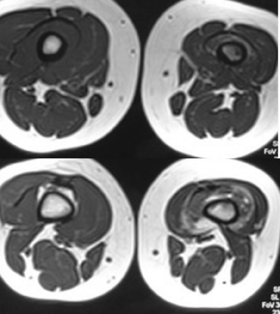
Recent gadolinium-enhanced and T1,T2 imaging showed a serpiginous enhancing lesion which contained signal void areas in 1/3 distal of thigh involving vastus intermedius and surrounded the femur without involving other adjacent muscles accompanying with atrophic changes and fatty changes in vastus intermedius muscle. It was extended to supra patellar pouch and was accompanied with adjacent heterogenous bone marrow signal and edema without evidence of cortical destruction or periosteal reaction with cortical thickening (Figure 2). On Doppler ultrasound, a heterogeneous hyperechoic soft tissue mass, containing vascular tissue and venous flow in distal left thigh with extension to supra patellar pouch was seen. According to MRI and Doppler ultrasound, findings were suggestive of probable hemangiom with adjacent secondary bony changes.
At first, the patient underwent angiographic embolization that was unsuccessful. Finally, surgery was performed and the lesion was completely resected. Histopathology confirmed a cavernous hemangioma with free margins. No recurrence was observed after 6 months follow up.

Discussion
Hemangioma is one of the most common soft tissue tumors (7% of all benign tumors). Intramuscular hemangioma is relatively rare (less than 1% of all hemangioma) and usually present in young adults (before the age of 30) (1-3).
Clinically, they present with a mass without any specific features. Pain is a main symptom in 60% of the cases, with the lower extremity being the most common region of involvement. The quadriceps is the most affected muscle. Intramuscular hemangiomas progressively grow but never metastasize. There is a 9% recurrence rate after surgical removal (3, 4).
It may be difficult to diagnose hemangiomas in the absence of cutaneous manifestations. Hemangioma proliferation goes on throughout the 1st year of life and is followed by slow involution. Fifty percent of hemangiomas resolve by 5 years and 70-90% by 7 years (1). The differential diagnosis for intramuscular hemangioma can be difficult and should be made with other lesions such as benign and malignant osseous tumors, soft tissue and muscular neoplasms (7). Plain radiographic examinations, nuclear medicine scans, and computerized tomography (CT) studies may not always be specific for this entity (10). MRI has been shown to demonstrate these lesions due to its superior soft tissue contrast resolution. Typical MRI findings in IH are hyperintense T2 signal correlating with stagnant blood in vascular spaces with signal void areas. On T1-weighted images, the IH is isointense to the skeletal muscle and has areas of increased signal approximating that of subcutaneous fat (9).
Color Doppler sonography may demonstrate blood flow within these lesions but the absence of flow does not rule out the presence of these lesions (4,9). In our patient, a heterogeneous hyper echoic soft tissue mass containing venous stream with extension to supra patellar pouch was determined in color Doppler sonography. In our case, MRI and color Doppler ultrasonography were fundamental tools for the correct diagnosis.
In the current case, the patient was initially diagnosed to have a suspicious osteoid osteoma (osteomyelitis and osteosarcoma were in DDX too which were ruled out); that may be related to primarily small size of the hemangioma in the distal left thigh and also low resolution MRI. Considering hemangioma in the differential diagnosis, use of high resolution MRI should be helpful to make diagnosis (9,10).
Treatment options include angiographic embolization, surgery or laser therapy. Surgery and other treatment modalities (Steroids, chemotherapy, and radiotherapy) are not always effective and have higher complication rates (e.g. scarring, deformity, intraoperative bleeding or recurrence).
The surgical excision of the lesion is sometimes indicated as it causes significant pain, for functional impairment or for cosmetic reasons (3,7). In our case, wide excision was done.

Conclusion
The rarity of intramuscular hemangiomas originating from skeletal muscles with extention to supra patellar pouch and knee joint with adjacent sclerotic bony change results in difficulty in diagnosis especially when initially bony involvement is dominant.
This unusual case shows how a benign disease can cause significant morbidity if not evaluated and managed early.

1. Dinehart SM, Kincannon J, Geronemus R. Hemangiomas: evaluation and treatment. Dermatol Surg 2001;27(5):475-85.  https://www.ncbi.nlm.nih.gov/pubmed/11359498
2. Pritchard DL. Surgical management of common benign soft-tissue tumors. In: Simon MA, Springfield DS, editors. Surgery for bone and soft tissue tumors. Philadelphia’ Lippincott-Raven; 1998. p. 525-40.
3. Moser RP, Barr MS. Musculoskeletal cases of the day. Intramuscular hemangioma of the thigh. AJR Am J Roentgenol 1994;162(6):1465-6.  https://www.ncbi.nlm.nih.gov/pubmed/8192029
4. Rosai J. Vascular neoplasms. Am J Surg Pathol 1986;10:26-31.   https://www.ncbi.nlm.nih.gov/pubmed/3296799
5. Costa e Silva I, Symon L. Cavernous hemangioma of the optic canal. Report of two cases. J Neurosurg 1984;60(4):838-41.  https://www.ncbi.nlm.nih.gov/pubmed/6707753
6. Missori P, Tarantino R, Delfini R, Lunardi P, Cantore G. Surgical management of orbital cavernous angiomas: prognosis for visual function after removal. Neurosurgery 1994;35(1):34-8.  https://www.ncbi.nlm.nih.gov/pubmed/7936149
7. Goto T, Kojima T, Iijima T, Yokokura S, Kawano H, Yamamoto A, et al. Soft-tissue haemangioma and periosteal new bone formation on the neighboring bone. Arch Orthop Trauma Surg 2001;121(10):549-53.  https://www.ncbi.nlm.nih.gov/pubmed/11768633
8. Ferri E, Pavon I, Armato E. Intramuscular cavernous hemangioma of the sternocleidomastoid muscle: An unusual neck mass. Otolaryngol Head Neck Surg 2007;137(4):682-3.  https://www.ncbi.nlm.nih.gov/pubmed/17903594
9. Buetow PC, Kransdorf MJ, Moser Jr RP, Jelinek JS, Berrey BH. Radiographic appearance of intramuscular hemangioma with emphasis on MR imaging. AJR Am J Roentgenol 1990;154(3):563-7.  https://www.ncbi.nlm.nih.gov/pubmed/2154914
10. Christenson JT, Gunterberg B. Intramuscular haemangioma of the extremities: is computerized tomography useful? Br J Surg 1985;72(9):748-50.  https://www.ncbi.nlm.nih.gov/pubmed/4041739
 
Volume 2, Issue 4
Spring 2019
Pages 104-107

Figure 1. CT scan showing a notable sclerosis of distal diaphysis with muscular atrophic changes and mild heterogeneous density.
Figure 1. CT scan showing a notable sclerosis of distal diaphysis with muscular atrophic changes and mild heterogeneous density.
Figure 2. MRI showing a serpiginous soft tissue mass containing signal void areas with extension to knee joint with bone marrow edema and atrophy of vastus intermedius with fatty changes.  Axial T1W and T2W (a,b) and sagittal STIR  (c)  images.
Figure 2. MRI showing a serpiginous soft tissue mass containing signal void areas with extension to knee joint with bone marrow edema and atrophy of vastus intermedius with fatty changes. Axial T1W and T2W (a,b) and sagittal STIR (c) images.